見たい!

2021年6月18日 11時59分

5年生は今日の理科で、実験の考察をしていました。

植物は育つ環境によってちがう成長の仕方をしたので、みんなで話し合っています

後半には、メダカのタマゴを分ける作業をしました。

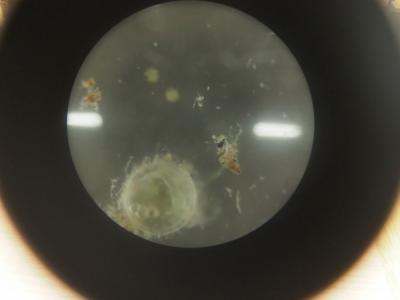
先生が中学部から顕微鏡を借りてきてくれたので、卵を見てみました!「すごー!!毛が生えてる?!」と子どもたちは興味津々

だんだん目がわかるようになってきた卵もありました!理科の授業が楽しみでしかないですね

中学2年生では、国語の授業でテスト範囲の見直しをしていました品詞の復習をしています。今見直しているということは、テストに出る可能性が…?!

わからなかったところは、わかるまで復習しておきましょう